This is not an actual MAVENCLAD patient.

MS Overview

MS is a neurological disease that affects the brain, spinal cord, and optic nerve. In MS, the immune system attacks the central nervous system, causing communication problems between the brain and the rest of the body.

Researchers are still working to find the exact cause of MS, but certain triggers have been linked with the onset or development of MS, including the immune system, genetics, and environmental factors.


What are the symptoms of MS?

MS can be unpredictable, especially when the symptoms that appear and how long they last, can vary from person to person. If you have any questions or concerns about new or worsening MS symptoms, talk to your doctor right away.

The most common MS symptoms are shown below. Tap to expand the sections to read more about each symptom listed.

 

 

Icon of a person with hands on their abdomen, illustrating the bladder and bowel issues common among those with MS.

Bladder issues are common, occurring in at least 80% of people with MS. These symptoms can usually be treated with medications and other forms of management. Constipation and incontinence are the most common bowel complaints, and can be managed through diet, fluid intake, physical activity, and medication.

Icon of a person's head with tangled wires in the brain, symbolizing cognitive challenges faced by those with MS.

Cognitive issues, or high-level brain functions, can occur at any time in the course of your MS. Even if you do not have physical signs of the disease, you may experience cognitive dysfunction—more than half of all people with MS will develop cognitive issues.

Icon of a dark cloud lightning and rain drops, representing the challenges of depression in individuals with MS.

Depression, a constant feeling of sadness or low mood that interferes with your daily activities, is common in people living with MS. About half of all people who have MS will experience depression at some time in their lives. If you think you may be depressed, depression is treatable so it’s important to speak with your healthcare provider about what you’re feeling right away.

 

 

 

Icon of a person's head featuring the word three Z's prominently, symbolizing the impact of fatigue in MS patients.

Fatigue is one of the most common symptoms, occurring in about 80% of people with MS. It can significantly affect a person’s ability to function at home and work.

Icon of a hand with outstretched finger, featuring blue and orange lines around it, symbolizing numbness of the face, body, or arms and legs, a common symptom in MS patients.

Another common symptom of MS is numbness of the face, body, or arms and legs. The numbness, which may have a pins and needles sensation, can range from mild to so severe that it affects your ability to use that body part.

Icon of a body with one circle on each arm and leg, representing the pain common in multiple sclerosis.

It’s common for MS patients to experience acute or chronic pain. Acute pain may come on suddenly and doesn’t usually last longer than six months. Chronic pain is ongoing and can last longer than six months. Some pain may be caused by the nerve damage in the central nervous system. Other pain may be from changes to your body because of MS.

Icon of a bed representing the sexual issues that can be common in those with MS.

If MS damages the nerve pathways to the sexual organs, sexual response, including arousal and orgasm, can be directly affected. Sexual problems may also stem from MS symptoms such as fatigue and spasticity. Psychological factors like mood changes may also play a role in sexual function.

Icon of a man's shoulder with a lightning bolt over it representing painful, uncontrollable spasms that may impact individuals with MS.

“Spasticity” means muscle stiffness or spasms. The stiffness may be as minimal as muscle tightness and may not be bothersome at times, or stiffness may be so severe as to produce painful, uncontrollable spasms.

Icon of an eye with a blue iris surrounded by orange symbolizing vision difficulties that can impact those with MS.

Up to 90% of people living with MS have experienced vision difficulties. Most of the time, people recover from vision problems.

Icon of a person walking with an orange cane representing walking difficulties and mobility limitations common in individuals with MS.

Walking difficulties, one of the most common mobility limitations in MS, are related to several factors including spasticity, balance, numbness, fatigue, and muscle weakness.

Icon of a fuel gauge with the indicator arrow pointing to empty representing body weakness that can impact those with MS.

In MS, weakness can come from nerve signal problems. Lack of activity is another factor. Sometimes, you may be less active because of fatigue, pain, or a relapse. The longer you are inactive, the weaker your muscles can become.

How is MS diagnosed?

Because there isn’t one single test to diagnose MS, your healthcare provider may use a few different tests including:

  • A blood test or spinal fluid test to check for abnormalities
  • Evoked potentials, which tests the electrical activity of your nervous system
  • A neurological test to measure coordination, strength, thinking, vision, hearing, and other senses
  • Magnetic resonance imaging (MRI) to examine the nervous system for nerve damage and detects MS lesions

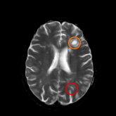
An MRI scan is an important tool used to help confirm an MS diagnosis. There are 2 types of MRI scans used to see lesions:

 

 

T1-weighted MRI scans with gadolinium highlight only active lesions. An orange circle points out Black hole while a purple circle points out Gd T1-w lesions.

T1-weighted scans with gadolinium highlight only active lesions. Gadolinium is a coloring that’s injected in the body to help healthcare providers see new and active lesions.

Black holes Gd T1-w lesions

T2-weighted MRI scans shows all lesions in the central nervous system. An orange circle points out Black hole while a red circle points out T2-w lesions.

T2-weighted scans shows all lesions in the central nervous system: ones that are old and inactive as well as ones that are new.

Black holes T2-w lesions

Since there are some people who may not have visible lesions on an MRI, a detailed medical history and various neurological tests are also used to diagnose MS. After you’ve received your MRI results, talk to your healthcare provider to confirm your diagnosis and weigh the benefits and risks of your treatment options.

 


A woman browsing clothing options in a store. Not a real patient.

REDEFINE MS 

If you’re ready to redefine the role MS plays in your life, consider MAVENCLAD. See the results from a clinical trial of people treated with MAVENCLAD vs placebo.

WHAT IS MAVENCLAD?

MAVENCLAD is a prescription medicine used to treat relapsing forms of multiple sclerosis (MS), to include relapsing-remitting disease and active secondary progressive disease, in adults. Because of its safety profile, MAVENCLAD is generally used in people who have tried another MS medicine that they could not tolerate or that has not worked well enough.

MAVENCLAD is not recommended for use in people with clinically isolated syndrome (CIS).

It is not known if MAVENCLAD is safe and effective in children under 18 years of age and is therefore not recommended.

IMPORTANT SAFETY INFORMATION

MAVENCLAD may cause serious side effects, including:

  • Risk of cancer (malignancies). You should follow healthcare provider instructions about screening for cancer.
  • MAVENCLAD may cause birth defects if used during pregnancy. Women must not be pregnant when they start treatment with MAVENCLAD or become pregnant during MAVENCLAD dosing and within 6 months after the last dose of each yearly treatment course. You should stop treatment with MAVENCLAD and contact your healthcare provider right away if you become pregnant during treatment with MAVENCLAD.
    • For women who are able to become pregnant:
      • Your healthcare provider should order a pregnancy test before you begin your first and second yearly treatment course of MAVENCLAD to make sure that you are not pregnant.
    • Ask your healthcare provider which contraceptive method is right for you. Women and men being treated with MAVENCLAD should use effective birth control (contraception) on the days on which they take MAVENCLAD and for at least 6 months after the last dose of each yearly treatment course.

Do not take MAVENCLAD if you:

  • have cancer (malignancy).
  • are pregnant, plan to become pregnant, or are a woman of childbearing age or a man able to father a child and you are not using birth control.
  • are breastfeeding.
  • are human immunodeficiency virus (HIV) positive.
  • have active infections, including tuberculosis (TB), hepatitis B or C.
  • are allergic to cladribine.

Before you take MAVENCLAD, tell your healthcare provider about all of your medical conditions, including if you:

  • think you have an infection.
  • have taken, take, or plan to take medicines that affect your immune system or blood cells, or other treatments for MS. Certain medicines can increase your risk of getting an infection.
  • have had a recent vaccination or are scheduled to receive any vaccinations. You should not receive live or live-attenuated vaccines within the 4 to 6 weeks preceding treatment with MAVENCLAD or receive these types of vaccines during your treatment with MAVENCLAD and unless directed by your healthcare provider.
  • have heart failure.
  • have or have had cancer.
  • have liver or kidney problems.
  • are breastfeeding or plan to breastfeed. It is not known if MAVENCLAD passes into your breast milk. Do not breastfeed on the days on which you take MAVENCLAD, and for 10 days after the last dose.

How should I take MAVENCLAD?

  • MAVENCLAD is given as two yearly treatment courses, consisting of 2 treatment weeks (cycles) about a month apart.
  • Handle MAVENCLAD with dry hands and take immediately after opening the blister pack. Take with water and do not chew the tablet. MAVENCLAD can be taken with or without food and should be taken at least 3 hours apart from other medicines.
  • Wash your hands after handling MAVENCLAD. Limit contact with your skin (especially on your face). Wash skin and surfaces with water if contact occurs.
  • If you miss a dose, take it as soon as you remember on the same day. If the whole day passes before you remember, take your missed dose the next day. Do not take 2 doses at the same time. Instead, you will extend the number of days in that treatment week.

Your healthcare provider will continue to monitor your health during the 2 yearly treatment courses, and for at least another 2 years during which you do not need to take MAVENCLAD. It is not known if MAVENCLAD is safe and effective in people who restart MAVENCLAD treatment more than 2 years after completing 2 yearly treatment courses.

MAVENCLAD can cause serious side effects. If you have any of these symptoms listed below, call your healthcare provider right away:

  • low blood cell counts have happened and can increase your risk of infections during treatment with MAVENCLAD. Blood tests are needed before you start treatment with MAVENCLAD, during your treatment with MAVENCLAD, and afterward, as needed.
  • serious infections such as:
    • life-threatening or fatal infections caused by bacteria, viruses, parasites or fungi.
    • TB, hepatitis B or C, and shingles (herpes zoster). Fatal cases of TB and hepatitis have happened with cladribine during clinical studies. Tell your healthcare provider right away if you get any symptoms of the following infection related problems or if any of the symptoms get worse, including fever, aching painful muscles, headache, feeling of being generally unwell, loss of appetite, burning, tingling, numbness or itchiness of the skin in the affected area, skin blotches, blistered rash, or severe pain.
    • progressive multifocal leukoencephalopathy (PML). PML is a rare brain infection that usually leads to death or severe disability. Although PML has not been seen in MS patients taking MAVENCLAD, it may happen in people with weakened immune systems. Tell your healthcare provider right away if you have any new or worsening neurologic signs or symptoms. These may include: weakness on 1 side of your body, loss of coordination in your arms and legs, decreased strength, problems with balance, changes in your vision, changes in your thinking or memory, confusion, or changes in your personality.
  • liver problems. Symptoms of liver problems may include: nausea, vomiting, stomach pain, tiredness, loss of appetite, dark urine, or your skin or the whites of your eyes turn yellow. Your doctor will perform blood tests to check your liver during treatment.
  • allergic reactions (hypersensitivities). You should stop treatment and seek immediate medical attention if any signs or symptoms of allergic reactions occur. Symptoms of an allergic reaction may include skin rash, swelling or itching of the face, lips, tongue or throat, or trouble breathing.
  • heart failure. MAVENCLAD may cause heart failure, which means your heart may not pump as well as it should. Call your healthcare provider or go to the closest emergency room for medical help right away if you have any signs or symptoms such as shortness of breath, a fast or irregular heartbeat, or unusual swelling in your body.

The most common side effects of MAVENCLAD include: upper respiratory infection, headache, and low white blood cell counts.

These are not all the possible side effects of MAVENCLAD. Call your doctor for medical advice about side effects. To report SUSPECTED ADVERSE REACTIONS, contact EMD Serono at: 1-800-283-8088 ext. 5563 or FDA at 1-800-FDA-1088 or www.fda.gov/medwatch.

Please see full Prescribing Information and Medication Guide, including serious side effects.